Dental Bonding

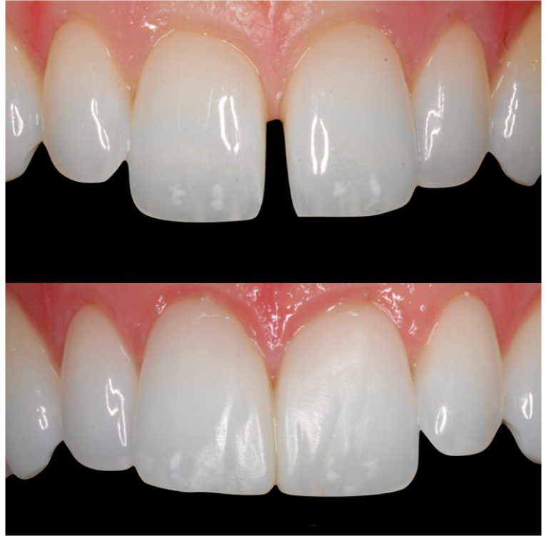
A fast and effective way to improve the appearance of your teeth, dental bonding uses a tooth-colored resin to fill gaps, correct chips, or change the color of your teeth. It’s a simple procedure that can make a significant difference in your smile.

Utah Valley

Crown Specialist

Expert care for your smile.

Schedule Your Consultation Today!