How Main Plaza Dental Helps Protect Your Teeth From Further Decay – What Is A Dental Filling?
Fillings are a way to restore a tooth that has been damaged by decay and bring it back to its normal shape and function. When Dr.Hicken gives you a filling, he will first remove all of the decay on the tooth and clean the area, and then he will fill the cleaned out cavity with a filling material. Once Dr. Hicken has closed up the area, bacteria will not be able to enter, protecting the tooth from further decay. This doesn’t mean that you can stop brushing and flossing though. Without proper hygiene habits, decay can come back.
What Are Fillings Made Of?
Fillings are made of different types of materials. There are gold fillings, silver fillings (aka) amalgam, composite resin fillings, and porcelain fillings. Silver fillings have a tendency to darken to dark gray or black and are less than ideal for esthetics. White fillings are a standard practice and better for your mouth. Dr. Hicken will recommend the best type of material for your filling.
How Do I Know I Need A Filling?
That’s the million dollar question! You don’t always know when you need one. That is why it’s important to come in and see us twice a year. This will allow us to spot decay before it’s too late. Our biggest concern is your long term oral health. If you think that you might need a filling or haven’t seen us in a while, give us a quick call at (801) 794-9684 to schedule a cleaning and consultation. We look forward to seeing you.
Tooth-Colored Fillings – Why Dr.Hicken Recommends Them

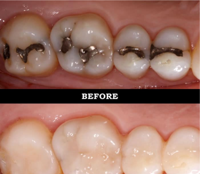
Why Should You Replace Your Silver Fillings?
Silver mercury amalgam fillings were used for many years in dentistry. You’ve likely had one in your lifetime. In recent years, there has been a shift away from silver fillings for several reasons. Dr. Hicken recommends replacing them with porcelain tooth-colored fillings because they result in a stronger tooth and higher aesthetic value.
The Disadvantages of Silver Fillings
The edges of silver fillings tend to wear down over time. Eventually, they become weak and break. When this happens, the tooth is at risk of cavities. Also, silver fillings tend to expand and contract, which can cause the tooth to split. Again, this results in bacteria and possibly cavities. Silver fillings also contain approximately 50 percent mercury. Mercury can corrode, leak, and potentially cause stains on your teeth and gums.
The Advantages of Tooth-Colored Fillings With Main Plaza Dental
Resin fillings are bonded to the tooth, creating an extremely tight fit superior to silver fillings. We always want to save as much of the tooth as possible. Restorations using resin can be used in situations when most of the original tooth has been lost. This allows the tooth to stay intact.
Also, the resin used in tooth-colored restorations contains fluoride, which helps to fight off decay. The resin wears like a natural tooth and does not require placement at the gum line. This results in a wonderful, natural-looking smile.
If you’re interested in replacing your silver fillings with tooth-colored resin fillings, please reach out to schedule a consultation.